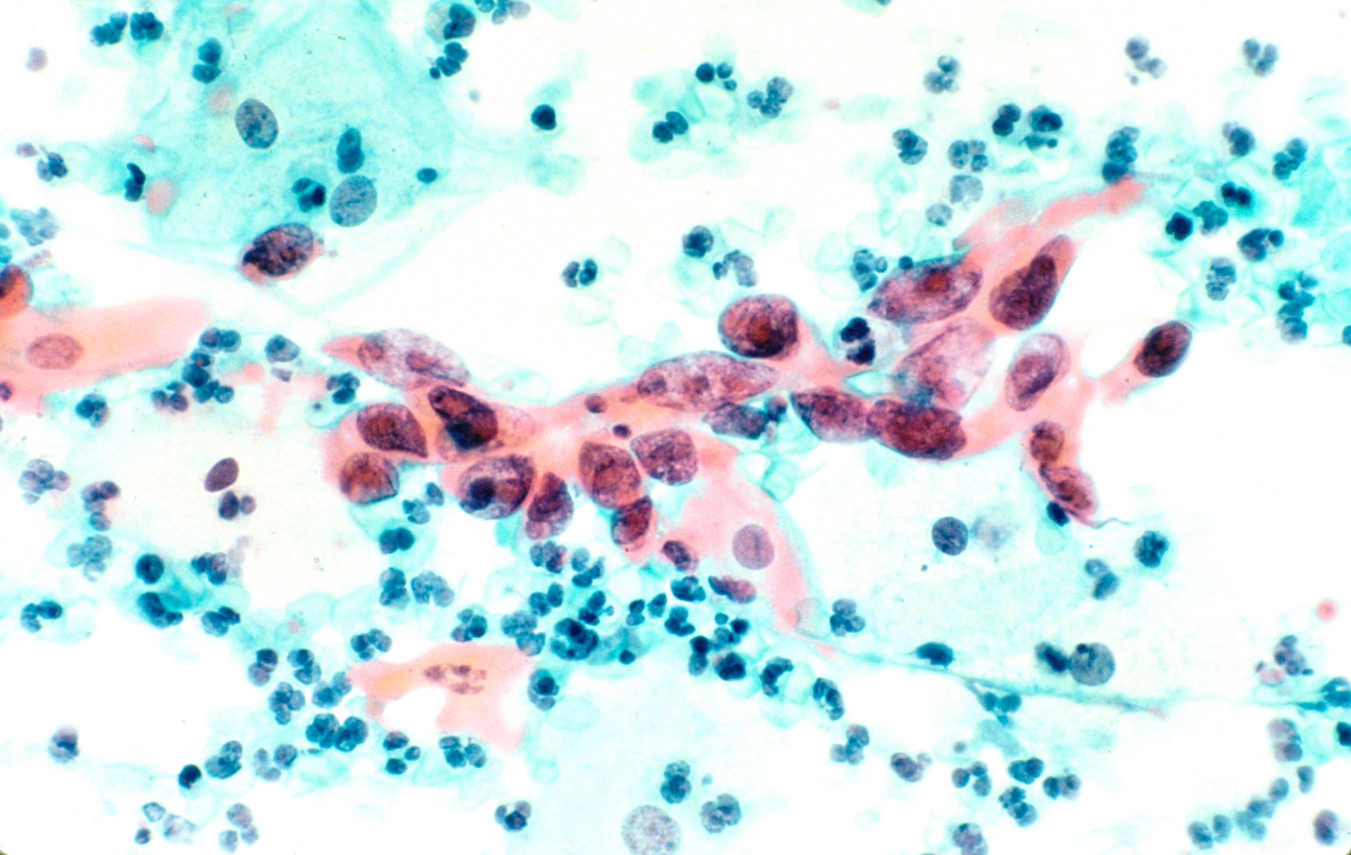
42+ Hpv Positive And Abnormal Pap Pictures. Positive pap and hpv tests are markers of early signs of cervical cancer, which often does not cause symptoms until it is advanced. N lgsil (low grade squamous intraepithelial lesion).
Self Sampling Hpv Test In Women Not Undergoing Pap Smear For More Than 5 Years And Factors Associated With Under Screening In Taiwan Sciencedirect from ars.els-cdn.com Recent studies show that hpv can spontaneously disappear with time. N hpv (human papilloma virus). An abnormal pap smear doesn't even necessarily hint at you having precancerous cells.
Testing is the only way to know for sure.
The ways of human papiloma viral infection (пви) distribution were considered, as well as etiology and epidemiology of the diseases associated with human papilloma virus, risk factors and approaches to пви therapy in women. Testing is the only way to know for sure. N hpv (human papilloma virus). I can't calm myself down, and i keep convincing myself that i'm one of the few who will get cancer from this.
I am from USA. I was suffering from HEPATITIS B for over 3 years, i was hopeless until one of my friend directed me to a herbal DR. Dr Chike on youtube, she said the Dr has herbal medicine that treat HEPATITIS B also said the Dr has helped people with. HERPES, CANCER, DIABETES, HPV, HERPES, HSV 1 .2, Fever, and LIVER diseases. I never believed her but after a lot of talk. I decided to contact him, just few days ago i contacted him and he told me what to do which i did and he sent to me a herbal medicine via {DHL} with prescriptions on how i will take it for a period of days. After i finished taking the medicine for 2 weeks he told me to go for a test which i also did and when the result came out i was surprised to see that i am negative. I am proud to tell you that I am the happiest person on earth. Big thanks to Dr Chike herbs .. I pray you find a solution in him. For more information on how to get treated Contact Dr on, text/call via: +1 (719) 629 0982 WhatsApp . +233502715551, or Facebook page, @ Dr Chike Herbal Remedy.
I am from USA. I was suffering from HEPATITIS B for over 3 years, i was hopeless until one of my friend directed me to a herbal DR. Dr Chike on youtube, she said the Dr has herbal medicine that treat HEPATITIS B also said the Dr has helped people with. HERPES, CANCER, DIABETES, HPV, HERPES, HSV 1 .2, Fever, and LIVER diseases. I never believed her but after a lot of talk. I decided to contact him, just few days ago i contacted him and he told me what to do which i did and he sent to me a herbal medicine via {DHL} with prescriptions on how i will take it for a period of days. After i finished taking the medicine for 2 weeks he told me to go for a test which i also did and when the result came out i was surprised to see that i am negative. I am proud to tell you that I am the happiest person on earth. Big thanks to Dr Chike herbs .. I pray you find a solution in him. For more information on how to get treated Contact Dr on, text/call via: +1 (719) 629 0982 WhatsApp . +233502715551, or Facebook page, @ Dr Chike Herbal Remedy.
BalasHapus